Introduction
History
Organization
Headquarter office
Notice
International Membership
About Journal of KSUM
Search
Annual Meeting
International Meetings
Cases
VODs
International Fellowship
Guideline
Application Form
Downloads
> education >
Cases
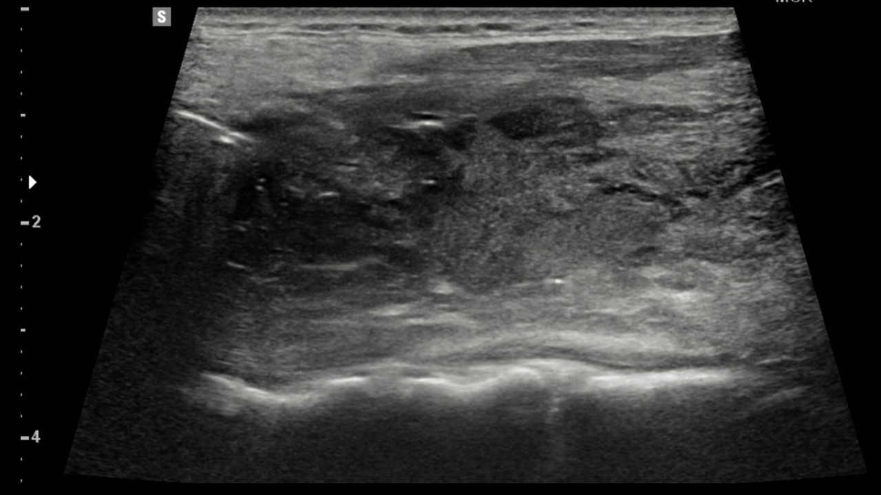
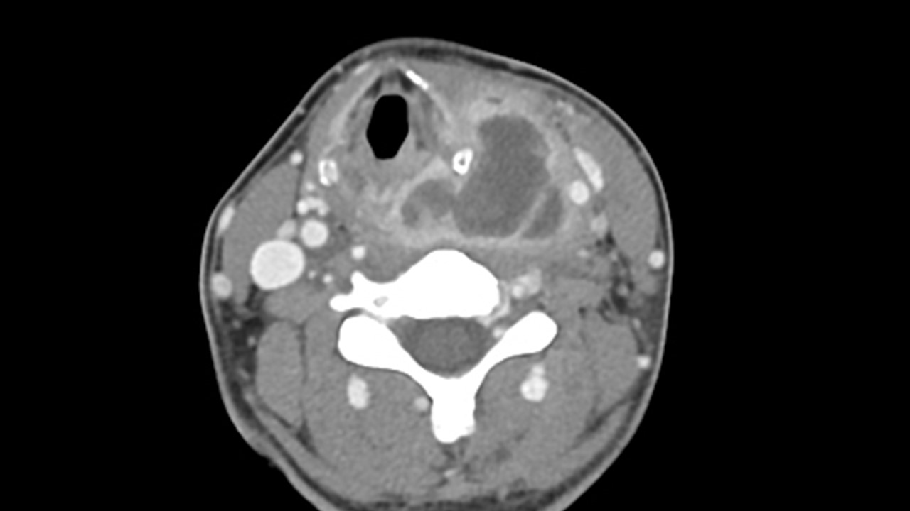
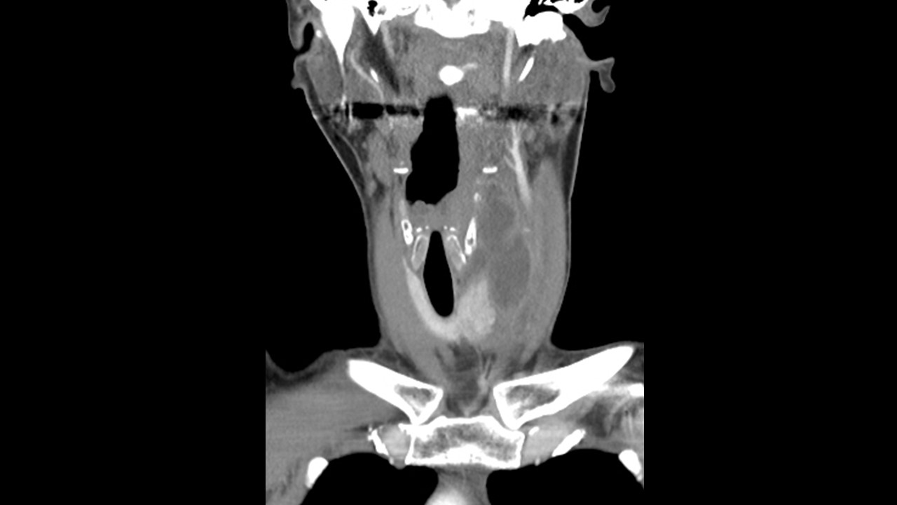
[369,] 48/F,Sore throat, neck pain
Subspecialty
Difficulty
For resident,
Modality
US,CT,
Sae Rom Chung
,2026-04-10
[Questions]
What is the most likely diagnosis?
[Diagnosis]
1.
Hypopharynx cancer with thyroid invasion
2.
Infected 4th branchial cleft anomaly
3.
Infected thyroglossal duct cyst
4.
Anaplastic thyroid cancer
5.
Infected 3rd branchial cleft anomaly
[Go to answer]
Comments on Case
No Data