Introduction
History
Organization
Headquarter office
Notice
International Membership
About Journal of KSUM
Search
Annual Meeting
International Meetings
Cases
VODs
International Fellowship
Guideline
Application Form
Downloads
> education >
Cases
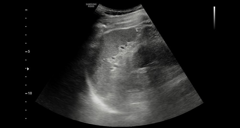
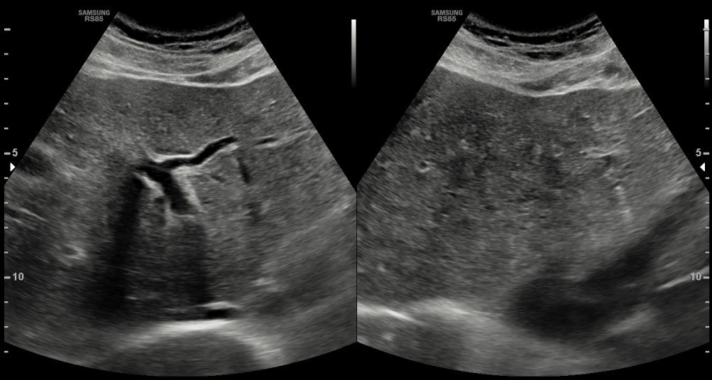
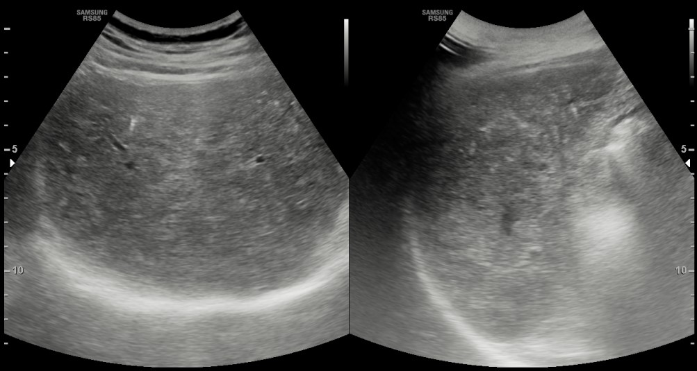
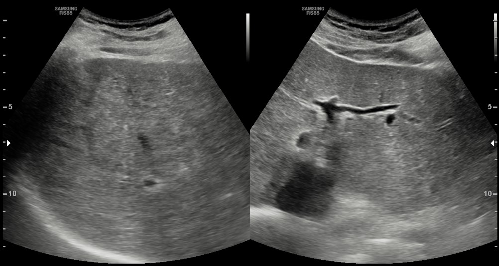
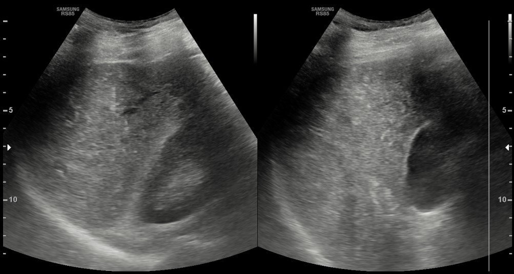
[366,Hepatobiliary [HB]] 62/M,Abnormal finding on upper abdominal ultrasonography during a health check-up
Subspecialty
Hepatobiliary [HB]
Difficulty
For resident,
Modality
US,
Seung-seob Kim
,2026-04-25
[Questions]
What is the most likely diagnosis?
[Diagnosis]
1.
Hepatic steatosis
2.
Liver cirrhosis
3.
Primary hemochromatosis
4.
Biliary hamartomatosis
5.
Budd-Chiari syndrome
[Go to answer]
Comments on Case
No Data