Introduction
History
Organization
Headquarter office
Notice
International Membership
About Journal of KSUM
Search
Annual Meeting
International Meetings
Cases
VODs
International Fellowship
Guideline
Application Form
Downloads
> education >
Cases
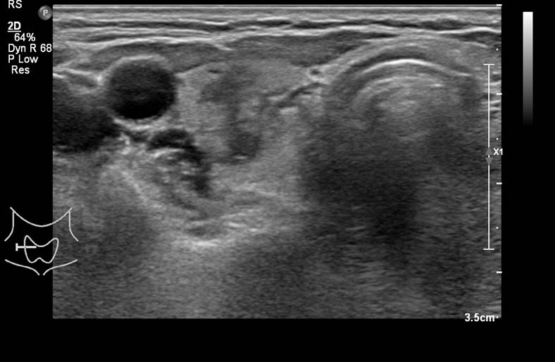
[360,] 64/F,Right anterior neck pain
Subspecialty
Difficulty
For resident,
Modality
US,
안혜신
,2026-02-10
[Questions]
다음 환자의 진단은?
[Diagnosis]
1.
Medullary thyroid carcinoma
2.
Nodular hyperplasia
3.
papillary thyroid carcinoma
4.
follicular adenoma
5.
Subacute thyroiditis
[Go to answer]
Comments on Case
No Data