education
education
CasesCases
VODsVODs
Case
> education > Cases
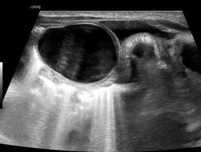
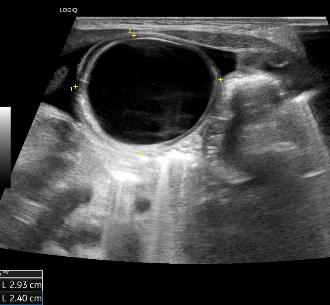
[359,Pediatric [Ped]] 1/F,Abdominal cyst was detected on prenatal ultrasound.
Subspecialty Pediatric [Ped]
Difficulty For Student,For resident,
Modality US,
JIEUN PARK,2026-01-25
실제 이미지 실제 이미지
실제 이미지
 [Questions]  What's the diagnosis?
 [Diagnosis]
  • 1.
  • 2.
  • 3.
  • 4.
  • 5.
 [Go to answer]

   Comments on Case
No Data