Introduction
History
Organization
Headquarter office
Notice
International Membership
About Journal of KSUM
Search
Annual Meeting
International Meetings
Cases
VODs
International Fellowship
Guideline
Application Form
Downloads
> education >
Cases
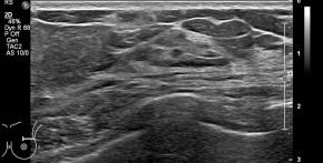
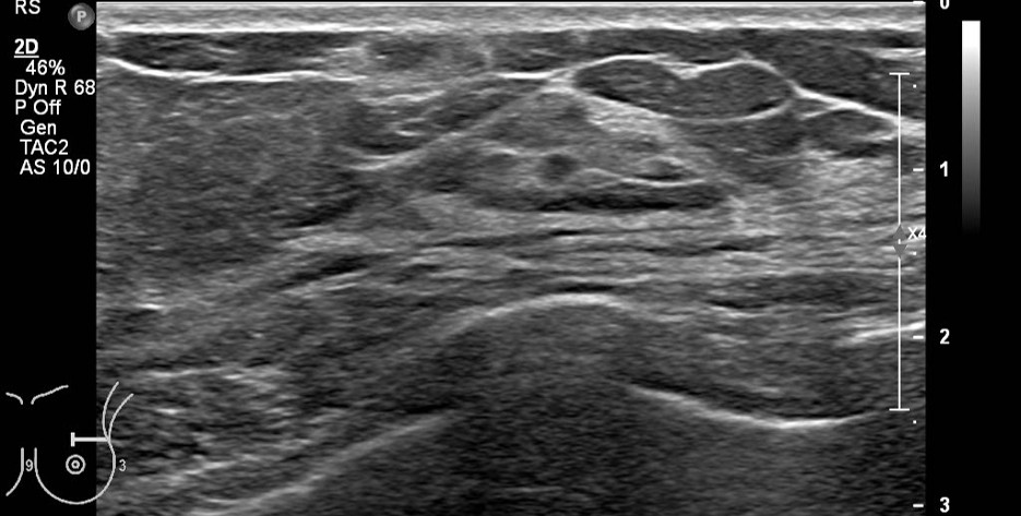
[355,Breast] 61/F,A palpable mass in the left breast
Subspecialty
Breast
Difficulty
For Student,For resident,Rare case,
Modality
US,Etc,
Soo-Yeon Kim
,2025-12-10
[Questions]
What is your diagnosis?
[Diagnosis]
1.
Duct ectasia
2.
Superficial thrombophlebitis
3.
Tubular carcinoma
4.
Sparganosis
5.
Granulomatous lobular mastitis
[Go to answer]
Comments on Case
No Data