Introduction
History
Organization
Headquarter office
Notice
International Membership
About Journal of KSUM
Search
Annual Meeting
International Meetings
Cases
VODs
International Fellowship
Guideline
Application Form
Downloads
> education >
Cases
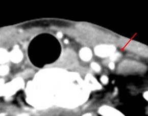
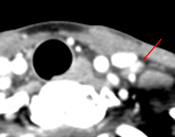
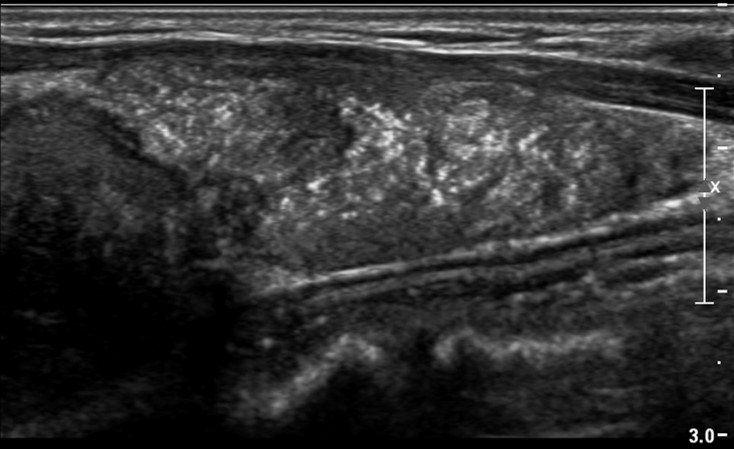
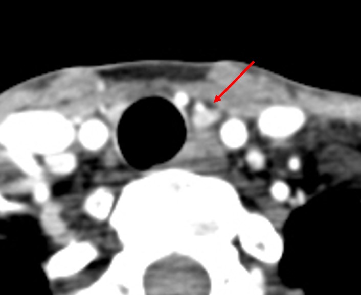
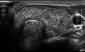
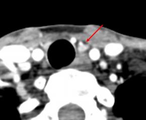
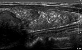
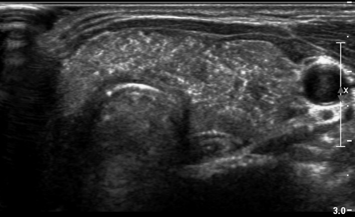
[353,] 42/F,검강검진상 발견된 갑상선 병변
Subspecialty
Difficulty
For resident,
Modality
US,CT,
Sae Rom Chung
,2025-10-25
[Questions]
진단은?
[Diagnosis]
1.
Tuberculosis
2.
Chronic thyroiditis
3.
Classic subtype of PTC
4.
Diffuse sclerosing subtype of PTC
5.
Lymphoma
[Go to answer]
Comments on Case
No Data