Introduction
History
Organization
Headquarter office
Notice
International Membership
About Journal of KSUM
Search
Annual Meeting
International Meetings
Cases
VODs
International Fellowship
Guideline
Application Form
Downloads
> education >
Cases
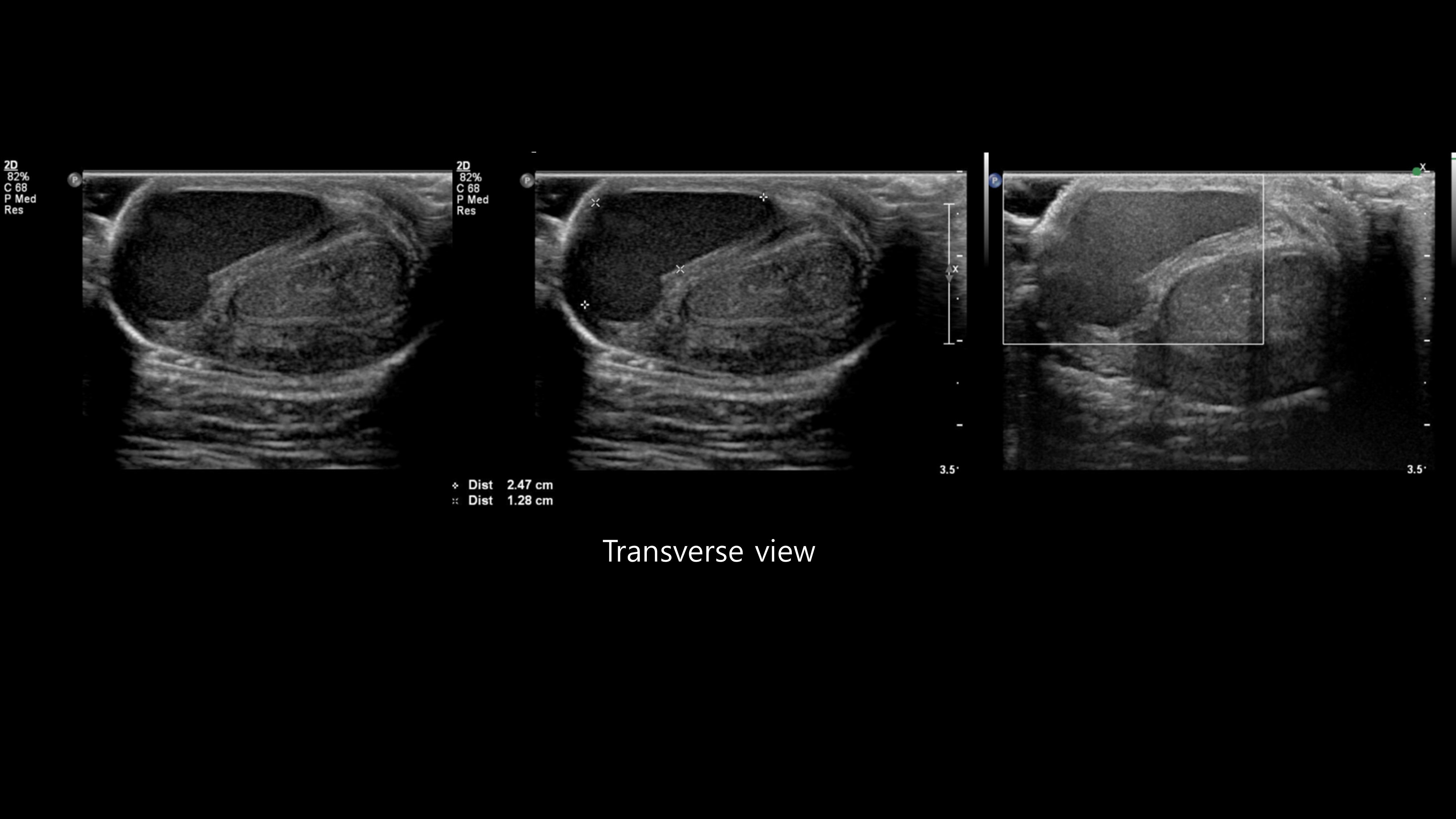
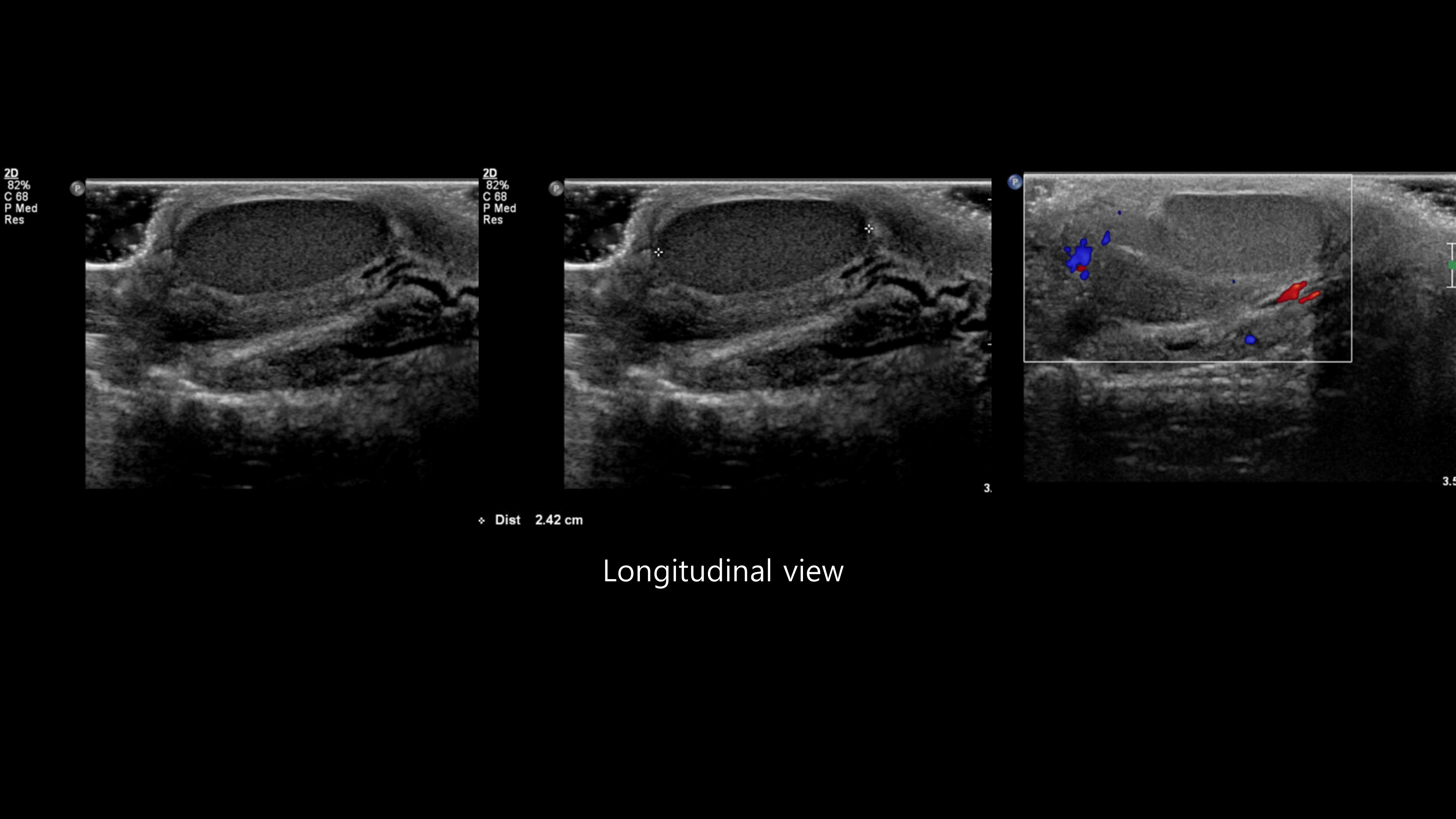
[350,Genitourinary [GU]] 18/M,Palpable penile mass
Subspecialty
Genitourinary [GU]
Difficulty
For resident,
Modality
US,
Weon Jang
,2025-09-25
[Questions]
What is the best diagnosis?
[Diagnosis]
1.
Hemangioma
2.
Penile abscess
3.
Epidermoid cyst
4.
Mondor’s disease
5.
Peyronie’s disease
[Go to answer]
Comments on Case
No Data